Revision Total Hip Replacement (Revision THA)

Review the clinical overview, symptoms, and recovery timeline for this procedure.

Approach: Anterior Approach (Most Commonly used) Duration: 2 + Hours Anesthesia: General or Spinal

Procedure Overview

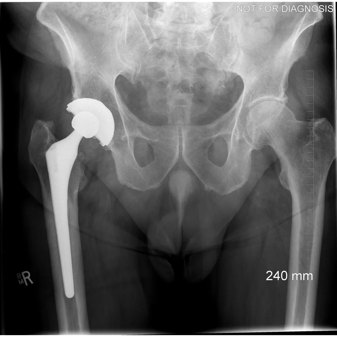
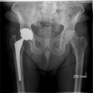
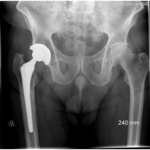
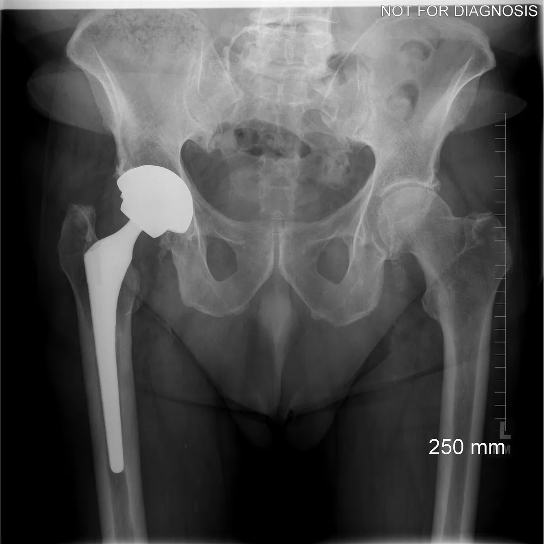
What Is a Revision Total Hip Replacement?

A revision total hip replacement (revision THA) is a surgical procedure performed to replace or repair a previous hip replacement that is no longer functioning well.

Unlike a primary (first-time) hip replacement, revision surgery is more complex and tailored to the specific problem affecting the existing implant.
The goal of revision hip replacement is to relieve pain, restore function, address complications, and improve quality of life.

Why Might a Revision Hip Replacement Be Needed?

A revision THA may be recommended if your hip replacement has failed or is causing problems, such as:

  • Implant loosening or wear over time
  • Hip instability or recurrent dislocation
  • Infection involving the hip replacement
  • Fracture of the bone around the implant (periprosthetic fracture)
  • Implant breakage
  • Persistent pain or loss of function
  • Bone loss around the implant
  • Some revisions are planned electively, while others may be required urgently.

How Is Revision Hip Replacement Different From the Initial, Primary THA?

Revision hip replacement:

  • Is technically more complex than first-time hip replacement
  • Often takes longer to perform
  • May require removal of one or more existing components
  • May involve bone grafts, specialized implants, or reconstruction techniques
  • Has a more variable recovery depending on the reason for revision
  • Despite this, many patients experience significant improvement after revision surgery.

Long-Term Outcomes

Revision hip replacement can provide meaningful pain relief and functional improvement. Outcomes depend on:

  • Reason for revision
  • Bone quality and soft tissue condition
  • Overall health and rehabilitation

Revision implants may not last as long as primary implants, but many function well for years.

Clinical Outcomes & Patient Safety

Key Benefits

Benefits of Revision Total Hip Replacement
  • Relief of pain caused by a failing hip replacement
  • Improved stability and function
  • Correction of complications such as loosening or dislocation
  • Improved ability to walk and perform daily activities

Risks & Considerations

Risks and Possible Complications
  • Revision THA carries higher risks than primary hip replacement due to its complexity. These may include:
  • Infection
  • Blood clots
  • Hip dislocation
  • Fracture of surrounding bone
  • Nerve or blood vessel injury
  • Blood loss and need for transfusion
  • Ongoing pain or stiffness
  • Implant loosening or failure
Your surgeon will discuss these risks and how they apply to your individual situation.

Location and Size of the Incision Used in Revision THA

Your surgeon will choose the approach and incision that allow the safest access and best reconstruction.

  • Incisions are often longer than in primary hip replacement
  • Length and location depend on the surgical approach and complexity
  • The incision may need to incorporate previous scars
  • The incision is closed with sutures or staples
 

Surgical Approaches

Revision hip replacement may use similar approaches to primary THA.

Posterior Approach

Lateral approach

Anterior approach (in selected cases)

Preparing for Surgery

Preparing for Revision Surgery

If a revision surgery is required, proper preparation can help improve recovery and reduce risk of complications.

If time permits before surgery, here are some general recommendations:

icon

Medical Preparation

  • Attending a preoperative assessment clinic to review your overall health. This may require blood tests, X-rays, and heart tests.
  • Reviewing medications with your healthcare provider, as some may need to be stopped before surgery.
  • Managing existing conditions (such as diabetes, anemia, high blood pressure, or heart disease) as well as possible
  • Treating existing infections (including dental, skin, or urinary infections) before surgery
icon

Lifestyle Preparation

  • Stop smoking, ideally several weeks before surgery, as smoking can delay healing and increase risk of complications
  • Maintain a healthy diet rich in protein, vitamins, and minerals to support healing
  • If advised, try to lose excess weight to reduce stress on the new joint
  • Begin preoperative exercises ("prehabilitation") to strengthen hip and leg muscles and improve flexibility
icon

Plan Ahead

  • Arrange time off work and discuss return-to-work plans with your healthcare provider
  • Organize help at home for the first few weeks after surgery
  • Plan transportation to and from the hospital on the day of surgery and for follow-up appointments. You will not be able to drive initially.
  • Prepare questions and concerns to discuss with your surgical team

What to Expect After Surgery

Icon Recovery In Hospital

  • Hospital stay is usually longer than after primary THA (often several days)
  • Pain is managed with medications
  • Physiotherapy starts early to help restore movement, strength, and confidence
  • Weight-bearing restrictions may apply, depending on the surgery
  • Blood-thinning medication and compression devices may be used to reduce the risk of blood clots
  • Nurses and therapists will teach you how to move safely, get in and out of bed, dress, and use the bathroom

Icon Recovery At Home

Recovery after Discharge
  • At discharge, you may be able to go home. However, some patients require inpatient rehabilitation.
  • Walking aids are often needed for a longer period of time
  • Physiotherapy continues for several months
  • Recovery timelines vary widely

Return to Work, Driving & Sports

Icon Return to Work

The timing of return to work depends on the type of work you do:
  • Desk-based work: often 8–12 weeks or longer
  • Physically demanding work: several months

Icon Driving

In Ontario, you may return to driving when:
  • You are no longer taking narcotic pain medication
  • You can safely control the vehicle and perform an emergency stop
  • Your surgeon confirms it is safe
This may take longer than after a primary hip replacement.

Icon Sports

Low-impact activities are encouraged. Activity progression is guided carefully.
  • Walking
  • Swimming
  • Cycling
  • Lower-impact fitness programs
High-impact activities are generally discouraged.

Frequently Asked Questions

Is revision hip replacement more difficult than the first surgery?

Yes. Revision surgery is more complex, but it is performed to address specific problems and improve function.

Will my recovery be longer?

Often yes, though this depends on the reason for revision and the procedure performed.

Can revision surgery fail?

While most revisions are successful, risks are higher than with primary hip replacement. Careful follow-up is important.

×
Clinical View